近日,郴州市第一人民医院东院胸部肿瘤外科成功为一名52岁男性患者完整切除胸腔内一直径达16厘米的巨型神经鞘瘤。此次高难度手术的成功,标志着该院在复杂胸部肿瘤诊疗领域的技术突破,也体现了多学科团队(MDT)协作模式下“以患者为中心”的救治理念。
男子频繁咳嗽久治不愈,元凶竟是胸腔“隐形炸弹”
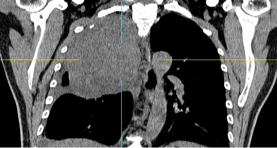
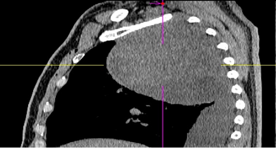
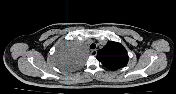
患者黄某因近3个月来反复咳嗽、久治不愈,前往当地医院就诊。检查结果让他和家人大吃一惊:右侧胸腔内竟长有一个巨大的肿块。胸部增强CT显示肿块大小约16cm×12cm,且与胸膜顶大血管关系极为密切。
正月初八,患者慕名来到郴州市第一人民医院东院胸部肿瘤外科就诊。接诊的胸部肿瘤外科主任马忠厦博士分析认为,患者肿瘤巨大,紧贴无名静脉及锁骨下动静脉,手术过程中稍有不慎便可能导致难以控制的大出血,甚至引发失血性休克或心脏骤停。这场手术,堪称在刀尖上起舞。



多学科联合会诊 为患者量身定制手术方案
“把患者的利益放在第一位,多站在患者的角度去考虑问题。”,面对挑战,马忠厦博士率领团队迎难而上。
手术前一天,胸部肿瘤外科牵头组织了由放射科、麻醉科、手术室、病理科、胸部肿瘤内科组成的多学科团队(MDT)进行全院大会诊。专家们通过三维重建技术对患者的影像资料进行精确评估,精准锁定肿瘤与血管及重要脏器的解剖关系,并针对手术中可能出现的三大难点制定了周密预案:
1. 精准控制出血:针对肿瘤体积巨大、血运丰富的特点,术前充分备血,术中精细操作,避免血管变异带来的意外损伤。
2. 避免损伤血管及周围脏器:仔细研判肿瘤与胸膜顶的粘连程度,力求在完整切除肿瘤的同时,避免损伤血管右无名静脉及右锁骨下动静脉,最大限度保留正常生理功能。
3. 稳定循环呼吸:麻醉团队决定采用双腔气管插管技术,确保术中呼吸与循环的绝对稳定。

两小时鏖战 完整切除巨型肿瘤
元宵节上午9时30分,手术正式开始。在麻醉科、手术室的紧密配合下,马忠厦博士带领手术团队按照术前讨论确定的方案,为患者实施开胸手术结合胸腔镜辅助。由于胸腔内操作空间极为有限,肿瘤暴露异常困难,每一步分离都如履薄冰。凭借精湛的技术和术前的精确规划,团队有条不紊地分离粘连、结扎血管。上午11时许,巨型肿瘤被完整切除。经过仔细止血关胸后,12点多手术顺利结束。

医患同心 患者康复出院共团圆
术后,在胸部肿瘤外科医护团队的精心护理下,黄某恢复良好,不到一周便顺利出院。出院时,他笑着握住医生的手说:“刚好可以回家和家人团圆了,感谢马忠厦博士团队的救命之恩!”
此次手术的成功,再次展现了郴州市第一人民医院东院胸部肿瘤外科在处理复杂、罕见胸部肿瘤方面的综合实力。
潇湘晨报·晨视频 记者张紫娟 通讯员安婧 陈宏旺
点击右上角
微信好友
朋友圈

点击浏览器下方“
”分享微信好友Safari浏览器请点击“
”按钮

点击右上角
QQ

点击浏览器下方“
”分享QQ好友Safari浏览器请点击“
”按钮
