同一天
两个38岁宝爸因急性心梗被送进医院
且都发生在剧烈运动后
都说运动使人健康
这到底是怎么回事?
打了10分钟羽毛球
心脏就受不了了

前不久,他带孩子到羽毛球场操练,手痒之下自己也上场挥杆,仅10分钟左右,就因心前区剧烈绞痛被送进了急诊。
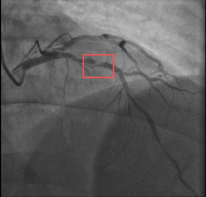
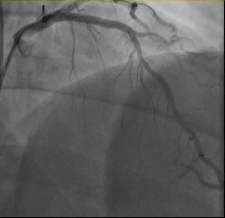
浙江医院心血管内科副主任汤益民主任医师分析,剧烈运动导致这位患者心脏的不稳定斑块破裂,进而造成前降支近段次全闭塞。所幸送医及时,接受紧急介入治疗后,孙先生的身体险情被成功化解。


介入治疗前后影像图
爬了一次山隔天就胸痛

高危人群不要随意给锻炼“上强度”
长期规律、适度的运动是预防心血管疾病最有效的方式之一,但对于已有潜在心脏问题或高危因素的人群,突然、剧烈的运动却可能成为急性心肌梗死的“导火索”。新闻里,猝然倒在羽毛球场、足球场及篮球场等激烈运动场合的中青年人并不鲜见。
浙江医院心血管内科副主任杜常青主任医师解释,剧烈运动主要通过三种机制诱发心肌梗死:


前文提到两个38岁奶爸突发心梗,都可能与剧烈运动后心肌供血不足、不稳定斑块破裂相关。
那么,日常大家应该如何预防剧烈运动诱发的心梗呢?杜常青这样建议:
1.先做心血管风险筛查
(1)常规体检不可少:每年做血脂、血糖、血压、心电图检查,有家族心脏病史、长期吸烟、熬夜、肥胖以及合并血脂、血糖、血压等高危因素者,建议心血管内科专科评估,医生可能建议做心脏超声、运动负荷试验,必要时完善冠脉CTA等心脏的结构与功能评估,提前发现隐藏的心血管问题。
(2)运动前评估心脏耐受度:对于长期久坐或缺乏规律运动者,在开展高强度运动前,可做运动负荷试验,判断心脏对运动的适应能力,避免盲目挑战超出身体承受范围的运动。
2.科学规划运动方案
(1)遵循“循序渐进”原则:从不规律运动切换到规律运动时,先从低强度运动(如快走、慢跑)开始,每周逐步增加运动量,避免突然进行大强度、长时间运动。
(2)做好运动前后准备:运动前花5~10分钟热身,活动关节、激活心肺,避免血管和心脏突然受刺激;运动后不要立刻停下,通过慢走、拉伸等方式平稳降心率,减少冠脉痉挛风险。
(3)规避危险运动场景:避免在高温高湿、寒冷大风环境下长时间剧烈运动;熬夜、过度疲劳、饮酒、感冒后24小时内不进行高强度运动;运动中或运动后若出现胸闷、心悸、头晕等不适,立即停止并休息,症状不缓解需及时到急诊胸痛中心就医,切勿心存侥幸。
转自:浙医在线
点击右上角
微信好友
朋友圈

点击浏览器下方“
”分享微信好友Safari浏览器请点击“
”按钮

点击右上角
QQ

点击浏览器下方“
”分享QQ好友Safari浏览器请点击“
”按钮
